Dị tật ngón tay thừa

Dị tật thừa ngón tay (polydactyly) là tình trạng trẻ sinh ra có thêm một hoặc nhiều ngón tay, trong đó ngón tay thừa thường nhỏ và ngắn hơn các ngón còn lại. Đây là một trong những dạng bất thường các chi phổ biến nhất. Theo thống kê, có khoảng 1/500-1000 trẻ sơ sinh gặp phải hội chứng này và thường chỉ xuất hiện ở một bên tay. Các ngón thừa thường là một mô nhỏ, có xương mà không có khớp, rất hiếm khi có đủ các chức năng của một ngón tay bình thường.

Co rút cân gan tay (co rút Dupuytren)

Co rút Dupuytren là bệnh gây ra các nốt sần, cục u hoặc bướu nhỏ dưới da ngón tay và lòng bàn tay, thường ảnh hưởng tới các ngón thứ tư và thứ năm. Bệnh nhân có thể thấy cảm giác bó chặt các ngón bị bệnh đến nỗi khó duỗi, đôi khi có tăng cảm giác đau. Một số trường hợp, sự co thắt này làm ảnh hưởng nặng đến chức năng và vấn đề thẩm mĩ, song hầu hết bệnh nhân chịu đựng tốt bởi vì sự co thắt xuất hiện ở trạng thái chức năng bình thường của bàn tay.

Chấn thương nhi: Gãy đầu dưới hai xương cẳng tay

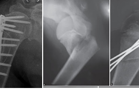
Gãy cổ phẫu thuật xương cánh tay

Bệnh viện Chấn thương Chỉnh hình Nghệ An “cứu sống” bàn tay đứt lìa cho bệnh nhân 67 tuổi

Đứt rời một phần chi thể không chỉ là tổn thương nghiêm trọng về mặt chức năng mà còn ảnh hưởng lớn đến thẩm mỹ nếu không được xử lý chính xác và kịp thời. Với sự phát triển của kỹ thuật vi phẫu, mỗi năm Bệnh viện Chấn thương chỉnh hình Nghệ An “cứu sống” hàng trăm bệnh nhân bị đứt rời chi hoặc đứt mạch máu, dây thần kinh quan trọng…